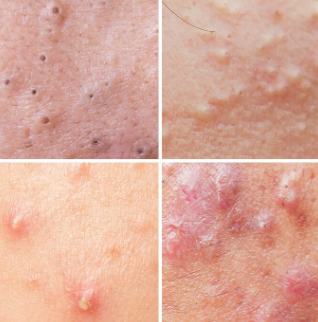
Acne / Pimples

Acne / Pimples (ખીલ)

Acne is a common skin condition that occurs when hair follicles become clogged with oil and dead skin cells. Our clinic offers effective treatments including topical medications, oral medications, and advanced procedures to reduce inflammation, prevent scarring, and restore clear skin.

Allergy

Allergy (એલર્જી)

Skin allergies manifest as rashes, itching, redness, and inflammation. We provide comprehensive allergy testing and treatment to identify triggers and manage symptoms effectively through medications and lifestyle modifications.

Eczema

Eczema (ખરજવુ)

Eczema is a chronic condition causing inflamed, itchy, and cracked skin. Our treatment approach includes moisturizing therapies, topical corticosteroids, and personalized care plans to manage flare-ups and improve skin barrier function.

Fungal Infection

Fungal Infection (દરાજ, ધાધર)

Fungal infections can affect various parts of the body, causing itching, redness, and scaling. We offer antifungal medications, both topical and oral, along with preventive measures to ensure complete recovery and prevent recurrence.

Wart

Wart (મસા)

Warts are small growths caused by viral infections. Our clinic provides various removal methods including cryotherapy, laser treatment, and topical medications to safely and effectively remove warts.

Tinea Versicolor

Tinea Versicolor (કરોલિયા)

A common fungal infection causing discolored patches on the skin. Treatment includes antifungal shampoos, creams, and oral medications to restore normal skin color and prevent recurrence.

Psoriasis

Psoriasis (સોરયાસીસ)

Psoriasis is an autoimmune condition causing rapid skin cell buildup, leading to scaly patches. Our comprehensive treatment includes topical treatments, phototherapy, and systemic medications to manage symptoms and improve quality of life.

Alopecia Areata

Alopecia Areata (ટાલ / ઉંદરી)

An autoimmune disorder causing patchy hair loss. Treatment options include corticosteroid injections, topical immunotherapy, and minoxidil to stimulate hair regrowth and manage the condition.

Diffuse Alopecia

Diffuse Alopecia (વાળ ખરવા)

Generalized hair thinning across the scalp. We provide comprehensive evaluation to identify underlying causes and offer treatments including medications, PRP therapy, and lifestyle modifications to promote hair growth.

Keratoderma

Keratoderma (હાથ પગના વાઢીયા)

Thickening of the skin on palms and soles. Treatment includes emollients, keratolytic agents, and topical medications to soften and reduce thickened skin, improving comfort and appearance.

Impetigo

Impetigo (ગુમડા)

A contagious bacterial skin infection causing sores and blisters. Treatment involves topical or oral antibiotics to clear the infection and prevent spread to others.

Herpes

Herpes (કખવા)

Viral infection causing painful blisters. We provide antiviral medications to reduce symptoms, shorten outbreaks, and prevent future episodes, along with supportive care for comfort.

Urticaria / Pruritus

Urticaria / Pruritus (ખંજવાળ / શુલસ)

Hives and itching can be caused by various factors. Our treatment includes antihistamines, identifying triggers, and managing underlying conditions to provide relief from persistent itching and hives.

Seborrhoea

Seborrhoea (ખોડો)

Excessive oil production by sebaceous glands. Treatment includes medicated shampoos, topical treatments, and lifestyle modifications to control oil production and prevent associated skin conditions.

Melasma

Melasma (દાઝ)

Dark patches on the face caused by sun exposure and hormonal changes. Treatment includes topical lightening agents, chemical peels, and strict sun protection to fade discoloration and prevent recurrence.

Periorbital Hyperpigmentation

Periorbital Hyperpigmentation (આંખ ફરતેના કુંડાળા)

Dark circles around the eyes can be caused by various factors. We offer treatments including topical creams, chemical peels, and laser therapy to lighten dark circles and rejuvenate the eye area.

Vitiligo

Vitiligo (સફેદ ડાઘ)

Loss of skin color in patches due to melanocyte destruction. Treatment includes topical corticosteroids, phototherapy, and advanced techniques to repigment affected areas and manage the condition.

Corn

Corn (કપાસી)

Thickened areas of skin caused by pressure or friction. Treatment includes debridement, padding, orthotic devices, and topical medications to relieve pain and remove corns.